症例写真
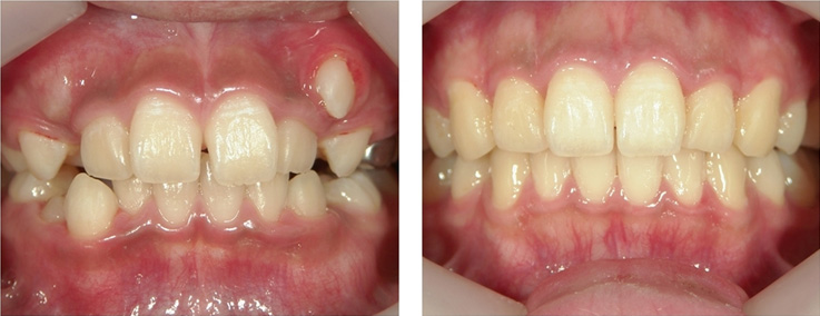
当院での治療前後 ![]()
叢生
1本1本の歯がきちんと並んでない状態


上顎前突
前歯が出てる状態


開咬
上の前歯と下の前歯が閉じてない状態


反対咬合
下の歯が上の歯を覆っている状態

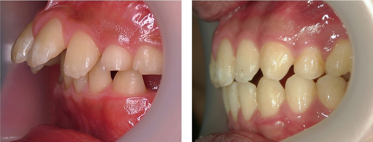
当院での治療前後 ![]()
叢生
1本1本の歯がきちんと並んでない状態


上顎前突
前歯が出てる状態


開咬
上の前歯と下の前歯が閉じてない状態


反対咬合
下の歯が上の歯を覆っている状態

Copyright © 東府中小児歯科医院 All rights Reserved.