東府中駅南口から徒歩3分
小児歯科専門医・矯正歯科認定医
トップページ
>
小児矯正
> 【小児矯正サイド】症例写真
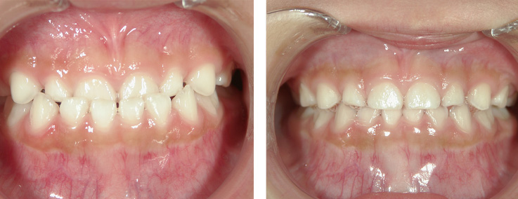
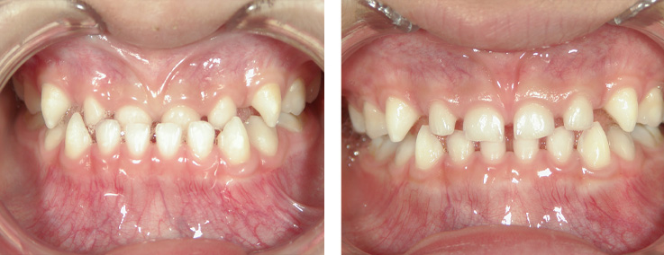
症例写真
当院での治療前後
Copyright © 東府中小児歯科医院 All rights Reserved.