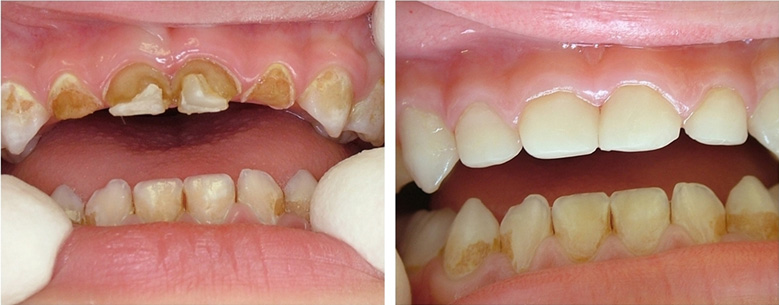
症例写真
当院での治療前後 ![]()

他院で進行止めを塗布して、黒くなった歯も白くすることが出来ます。
当院では ![]()
進行止めは塗布していません


重症な虫歯もきちんと治療することで、改善されます。


歯が破折した場合も、修復する事が出来ます。


ぶつけて黒くなった歯は神経が死んでしまっています。
きちんと治療して、白く治しましょう。


大人の歯が子供の歯が抜けずに出てくることがあります。
歯並びに影響しない様に、子供の歯を抜かないといけません。


過剰歯と言って、顎の裏から余分な歯が生えてくることもあります。
その場合も、抜歯が必要です。


当院では、クリーニングも ![]()
保険診療でおこなっています
口の中の汚れ(茶渋・歯石など)を取って、最後にフッ素コーティングをしています。

![]()





