東府中駅南口から徒歩3分
小児歯科専門医・矯正歯科認定医
トップページ
>
小児歯科
>
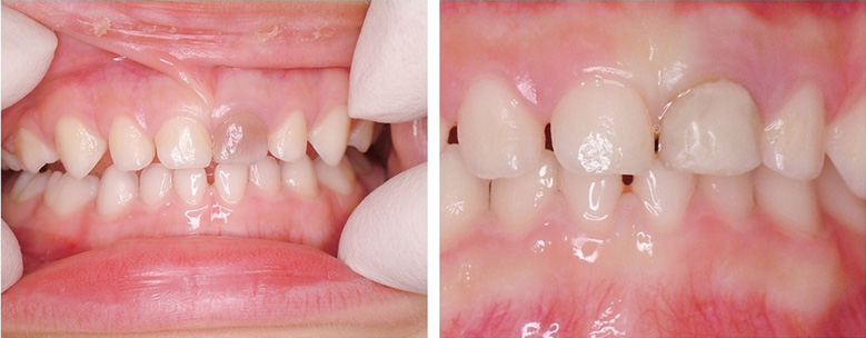
【小児歯科サイド】症例写真
> photo_pdcase05
photo_pdcase05
2016/04/26
Copyright © 東府中小児歯科医院 All rights Reserved.